Cuidando do seu sorriso
No Actual Consultório Odontológico, cada atendimento é pensado para valorizar sua saúde bucal e autoestima.


2000+
Sorrisos reais
Clientes felizes
1.100+
Nossos Serviços
Cuidamos do seu sorriso com atenção e carinho.
Limpeza Dental


Remoção de placas e tártaro para um sorriso saudável.
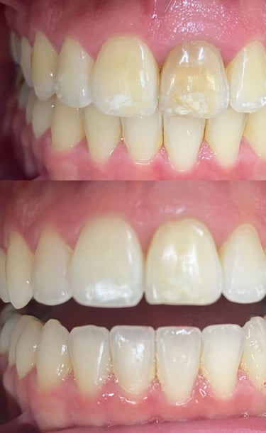
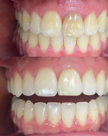
Restauração
Tratamentos para recuperar dentes danificados com cuidado.
Clareamento dental para realçar seu sorriso natural.
Clareamento
Sorrisos
Momentos reais de cuidado e confiança






Nossa Casa
Estamos no coração de Curitiba, prontos para cuidar do seu sorriso com carinho e atenção.
Endereço
R FREDERICO MAURER
Horário
Seg a Sex
